Skip to content
211 E. 43rd St., #1304, New York City, NY 10017
(212) 697-3946
About
About Us
Meet Dr. Castaño
For Patients
Patient Information
Patient Testimonials
Blog
Gallery
Dental Longevity
The Dental Longevity Protocol
Exams and Cleanings
Laser Dentistry
Oral Biopsy
Teeth Whitening
Clear Aligner Therapy
Gum Grafting
Implant Dentistry
Dental Implants
All-on-4 Dental Implants
Implant Dentures
Tooth Extractions
Sedation Dentistry
Bone Grafting
Sinus Lifts
Contact
Contact Us
Appointments
X
Schedule Online
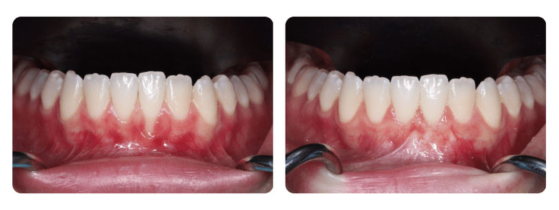
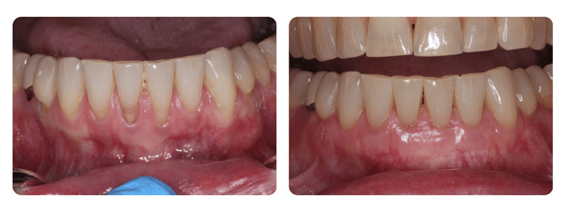
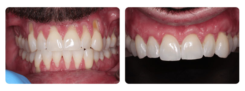
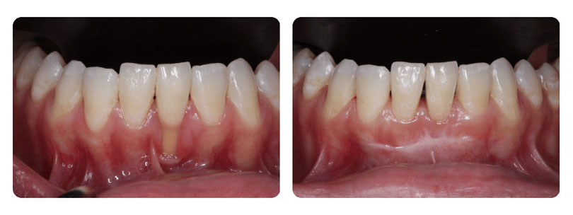
Patient Smile Gallery
Home
»
Smile Gallery